Ablauf einer Untersuchung

Ein Besuch in unserer Praxis

Aufnahmegespräch (Anamnese)

Zu Beginn steht ein aufmerksames Gespräch in entspannter Atmosphäre. In diesem Arzt-Patienten-Gespräch, das auch Anamnese genannt wird, informieren wir uns über Ihre bisherige Patientengeschichte und Ihre aktuellen Beschwerden.

Untersuchung

Basierend auf den aus dem Gespräch gewonnenen Informationen führen wir eine sorgfältige klinisch-neurologische Untersuchung mit verschiedenen Funktionstests durch.

Apparative Zusatzuntersuchung

Bedarfsweise führen wir unterstützt durch modernste Geräte Zusatzuntersuchungen durch. Unter anderem bieten wir die folgenden Leistungen an:

  • Messung der Hirnströme (EEG)
  • Messung der Nervenleitgeschwindigkeit (NLG)
  • Messung der elektrischen Muskelaktivität (EMG)
  • Ultraschalluntersuchung der hirnzuführenden Gefäße
    • Extrakranielle Farbduplex- und Dopplersonographie
    • Transkranielle Sonographie

Laboruntersuchung

Falls erforderlich führen wir eine ausführliche Laboruntersuchung durch, bei entsprechender Indikation auch eine Nervenwasserentnahme (Lumbalpunktion).

Befundbesprechung und Arztbrief

Am Ende steht eine ausführliche Besprechung der gewonnen Befunde. Sämtliche Ergebnisse erhalten Sie als Patient abschließend in Form eines Arztbriefes.

Farbduplex-Sonographie eines hirnzuführenden Gefäßes, eine Verengung ist gut sichtbar.
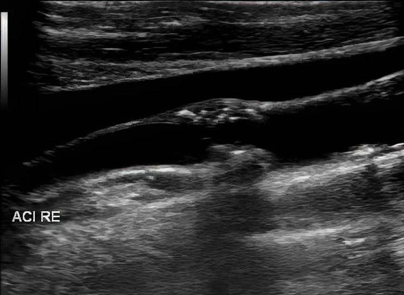
Ultraschallaufnahme eines hirnzuführenden Gefäßes mit arteriosklerotischem Plaque.